您所在的位置: 品牌专栏
NO.159 发现囊肿,痛经持续加重,很可能是子宫内膜异位症!
2023-08-24
作者:妇产科网
标签:
月经病
  
来源:妇产科网
浏览量:15292
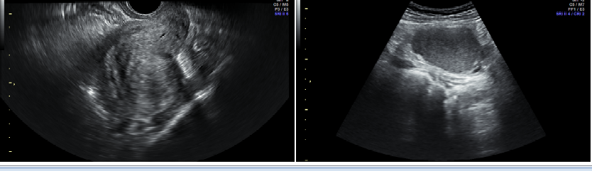
患者,刘某,28岁,G0P0,因“发现左附件肿物3年,痛经进行性加重3月”于2022年2月就诊于北京清华长庚医院妇科。 现病史: 患者平素月经规律,4-5/28天,量中,继发性痛经(+),LMP:2022.01.15。患者8年前开始痛经,可忍受,VAS评分2-3分,偶需服药,痛经时伴恶心、腹泻,无尿频尿急,3年前就诊我院,妇科彩超提示子宫腺肌症、双卵巢非纯囊性包块,右侧大小约2.7cm×2.2cm,左侧大小约4.4cm×3.0cm;盆腔核磁提示:子宫腺肌瘤;双侧巧克力囊肿,左侧较大;右侧输卵管积水?查CA-125:181.5 U/ml,建议手术治疗,患者考虑近期生育,予以口服中成药对症治疗,效果欠佳。近3月患者出现痛经加重,口服止疼药逐渐加量至经期每天2片,VAS评分6分。2022年2月复查彩超提示左卵巢大小7.5cm×5.7cm×5.6cm,内可见非纯囊性包块,大小约6.4cm×5.0cm×4.9cm,内可见密集光点回声,建议手术治疗,门诊以“左侧卵巢囊肿、子宫腺肌症”收入院。 既往史: 2017年因外伤行颅骨骨折手术。余(-) 月经婚育史: 月经初潮14岁,4-5/28天,量多,痛经中重度,需口服止疼药。已婚,G0P0,有生育计划。 家族史: 无特殊 专科查体: 外阴(-); 阴道:已婚未产型,分泌物不多; 宫颈:光,触血阴性; 子宫:前位,稍增大,无压痛; 三合诊:左侧附件区可触及一囊性肿物,直径约6cm,活动度差,压痛(-),右附件区未及明显异常,子宫直肠陷凹可及触痛结节,直径1cm。 辅助检查: TVS(2019-1-20,我院): 子宫前位,大小6.3cm×6.1cm×4.9cm,形态饱满,轮廓尚规整,肌层增厚回声不均匀,内可见多发短线样强回声,后伴栅栏样声影,以后壁为著,前壁厚约1.3cm,后壁厚约4.5cm。子宫内膜厚0.7cm,回声均匀。 右卵巢大小2.4cm×2.3cm×2.1cm,内可见非纯囊性包块,大小约2.7cm×2.2cm,内可见密集光点回声,囊壁可见血流信号。左卵巢大小7.6cm×5.4cm×4.8cm,内可见非纯囊性包块,大小约4.4cm×3.0cm×3.9cm,内可见密集光点回声,囊壁可见血流信号。[超声提示]:子宫腺肌症,双卵巢非纯囊性包块。 2019-1-16 CA125 181.5U/ml 2019-1-25 盆腔核磁提示:子宫腺肌瘤;双侧巧克力囊肿,左侧较大;右侧输卵管积水? TVS(2022-1-19,我院): [超声所见]:子宫前位,大小5.6cm×6.3cm×5.7cm,形态饱满,轮廓尚规整,肌层增厚回声不均匀,内可见多发短线样强回声,后伴栅栏样声影,以后壁为著,前壁厚1.0cm,后壁厚4.3cm,子宫内膜厚0.6cm,回声均匀。右卵巢大小3.3cm×2.4cm×1.8cm。左卵巢大小7.5cm×5.7cm×5.6cm,内可见非纯囊性包块,大小约6.4cm×5.0cm×4.9cm,内可见密集光点回声,囊壁可见血流信号。[超声提示]:子宫腺肌症,左卵巢非纯囊性包块。 2022-1-23 CA125 217.4U/ml AMH:2.07mg/ml

评论(0)
精彩评论