您所在的位置: 品牌专栏 >例例可鉴
NO.117 大道至简:规范化管理超高危型绒癌
2022-06-01
作者:王丽娟
标签:
妊娠滋养细胞肿瘤
  
来源:妇产科网
浏览量:62313
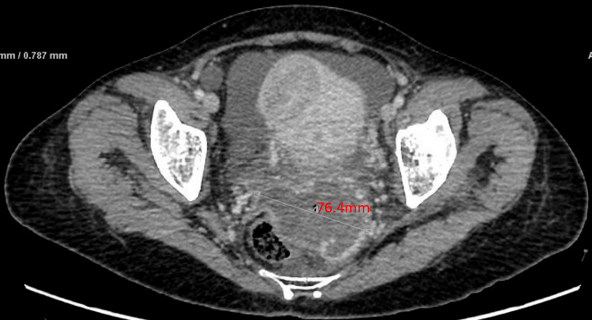
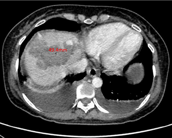
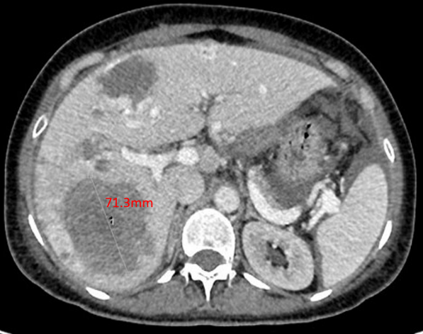
绒患者,张某,女,51岁。主诉:停经伴左中下腹痛4+月 现病史:患者既往月经规律,周期30天,LMP 2021年7月14日。停经后无恶心、呕吐等不适。G3P2A1,足月顺产两次,末次妊娠为7年前,行人工流产终止妊娠,此后以避孕套避孕。4月余前无明显诱因出现左中下腹隐痛,休息后可缓解,无进行性加重,无排便习惯改变等。2021年10月30日就诊于当地医院,彩超示:肝内多发高回声结节,血管瘤?其他不排。左侧腹腔内低回声包块,性质待定,腹腔少量积液。CT提示:左侧腹部占位性病变,考虑来源于腹腔,性质待查,纤维瘤?间质瘤?其他?转诊至当地上级医院,行电子直-结肠镜示:乙状结肠病变性质待查。CT示:1.左侧腹腔内肿块灶:间质瘤?炎性肌纤维母细胞瘤?2.肝内多发结节灶:转移瘤;3.子宫肌层内结节灶:子宫肌瘤?4.右侧附件区不规则肿块:粘液囊腺瘤可能性大;5.宫颈左后上方结节灶:转移瘤?6.盆腔少量积液;7.腹腔内多发小淋巴结。在超声引导下行左上腹腹腔肿块穿刺活检,穿刺组织3条,全部为凝固性坏死组织,倾向恶性肿瘤。2021年11月1日血清hCG 830 mIU/ml。2021年11月8日再次转诊至广州某医院,行肝部肿物穿刺,病理示:(肝肿物)结合免疫组化[β-HCG(+),GATA-3(+),p63(部分+)]考虑为绒毛膜上皮癌可能性大。2021年11月17日血清hCG >100万 mIU/ml。为进一步诊治,请我院进行院际会诊后,予以EP方案化疗1程后转入我科。 月经婚育史:12岁初潮,周期30天,经期5天,LMP 2021年7月14日,量中,无痛经。生育史同前。 个人史和家族史:无特殊。 体格检查:T 36.3℃,P 102次/分,R 20次/分,BP 120/80mmHg,身高156cm,体重50kg。左侧中下腹部触诊可及一约15cm×10cm边界不规则的质硬肿物,活动度差,轻压痛。 妇科检查:外阴未见异常;阴道通畅,各壁未见紫蓝色结节;宫颈正常大小,光滑,无接触性出血;宫体前位,大小基本正常,活动度差;双侧附件区未及异常肿物;三合诊:道格拉斯窝处可及一边界欠清肿物,触痛不明显,双侧宫旁无增厚,指套退出直肠无血染。 辅助检查: 全腹部CT平扫+增强+三维重建:腹腔大量积液,脂肪间隙模糊并多发渗出;肝内多发转移瘤并部分瘤内出血;左中腹肝胃间隙、脾胃间隙及子宫直肠间隙肿块,考虑转移瘤。 胸部CT:双肺散在实性结节,考虑转移瘤。 头颅MR平扫+增强:未见异常。

评论(0)
精彩评论