您所在的位置: 品牌专栏
NO.153 有生育要求的内异症患者术后如何做好长期管理?
2023-05-11
作者:王元芬,祝洪澜
标签:
子宫内膜异位症
  
来源:妇产科网微信公众号
浏览量:22597
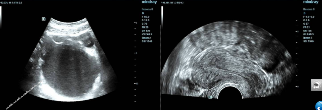
病史介绍 患者,李某,31岁,因“痛经并发现卵巢囊肿2月余”于2022年10月入住北京大学人民医院妇科。 现病史:患者平素月经规律,7/25-26天,量多,痛经中重度,需口服止疼药,近2个月痛经进行性加重,VAS评分6-8分。2月前外院彩超提示:左侧卵巢肿物约5.1cm*3.3cm。予中药针灸治疗,症状缓解不佳;10天前复查彩超提示;左卵巢囊肿8.7cm*6.6cm。昨日再次因左侧腹痛持续不缓解,伴坠胀感,急诊就诊,我院彩超提示:左附件可见周界清晰包膜完整不规则非纯囊性肿物范围 9.9cm*10.7cm*8.6cm,肿物壁厚0.2cm,未见正常卵巢组织,内有2-3个细分隔。门诊以“卵巢囊肿”收入院。 既往史:14年前行阑尾切除术,对头孢类药物过敏。 月经婚育史:月经初潮13岁,7/25-26天,量多,痛经中重度,需口服止疼药。已婚,G0P0,有生育计划。 家族史:无特殊。 专科查体:外阴正常,阴道已婚未产型,宫颈光,触血阴性,子宫前位,稍增大,无压痛,左侧附件区可触及一囊性肿物,直径约10cm,活动度差,无压痛,右附件区未及明显异常。 辅助检查: TVS+AS(2022-10-17,我院):子宫前位,大小 5.0cm*4.8cm*3.5cm,表面不平,回声不均。后壁增厚,宫壁散在少量中等回声短线。前壁稍突低回声结节直径1.2cm。内膜回声中等不均,厚1.5 cm。左附件可见周界清晰包膜完整不规则非纯囊性肿物范围 9.9cm*10.7cm*8.6cm,肿物壁厚0.2cm,未见正常卵巢组织,内有2-3个细分隔。右卵巢大小回声正常。子宫后穹窿游离液厚3.3cm。CDFI:子宫壁内血流信号正常,子宫动脉:RI 0.93,PI 1.60。宫壁散在少量星点状血流信号:RI 0.90,PI 1.40。宫壁结节内部及周边可见少量血流信号,RI 0.78,PI 1.48 。左附件肿物囊壁可见少量血流信号,RI 0.65,PI 1.07。 影像学结论:子宫腺肌症,子宫肌瘤,内膜不均回声性质待查,左附件囊性肿物性质待查(考虑巧克力囊肿),盆腔积液10-18 AMH 1.024mg/ml;CA125 41.40U/ml。 初步诊断: 1.左侧卵巢囊肿(子宫内膜异位囊肿?) 2.子宫腺肌症 3.子宫肌瘤 4.宫内回声团性质待查 5.卵巢储备功能低下 诊断依据: 1.病史:痛经并进行性加重。 2.查体:左侧附件区可触及一囊性肿物,直径约10cm,活动度差。 3.辅助检查:B超提示:左附件可见周界清晰包膜完整不规则非纯囊性肿物范围9.9cm*10.7cm*8.6cm,肿物壁厚0.2cm,未见正常卵巢组织,内有2-3个细分隔。内膜回声中等不均,厚1.5cm。CA125 41.40U/ml。

评论(0)
精彩评论