2022年5月18日,国际顶级期刊Nature杂志在线发表了来自我国著名妇产科学家黄荷凤院士和中科院徐国良院士团队合作研究的最新成果“Maternal inheritance of glucose intolerance via oocyte Tet3 insufficiency”。该研究首次揭示了卵子源性糖尿病代际传递中表观遗传甲基化的精确调控机制,解析了卵母细胞母本Tet3(tet methylcytosine dioxygenase 3)调控父本亲缘遗传特性的子代胰岛素分泌不足,而实现糖尿病易感性的代际遗传,为从生命早期认识和防控糖尿病等成人慢病提供了崭新的科学视角。
自上世纪末,Barker学说的提出和发展促进了人们认识到孕期环境暴露对出生子代健康的重要性。目前,临床普遍上将这一类起源于生命早期的代谢、心血管疾病等慢性疾病称为发育源性疾病,是一种迟发性出生缺陷,给社会和家庭带来沉重负担,严重影响我国人口健康。黄荷凤院士课题组作为国际上最早开展发育源性疾病研究的团队之一,首次证实了孕期宫内高糖等因素暴露能够造成代际间的遗传,并发现疾病起源可前移至孕前(配子发育期),率先在国际上提出了“配子源性成人疾病”学说。然而相较于孕期胎儿的直接暴露,生殖细胞如何将不良环境因素传递给后代,相关机制尚不清楚。基于这一问题,黄荷凤院士与徐国良院士课题组展开合作,经过不断探索,以孕前糖尿病为切入点,发现了女性卵子可介导糖尿病的传代效应,找到了开启卵源性代际遗传模式的关键钥匙——DNA去甲基化酶Tet3,阐释了Tet3介导的代际遗传的调控途径和具体方式。
“子承母疾”
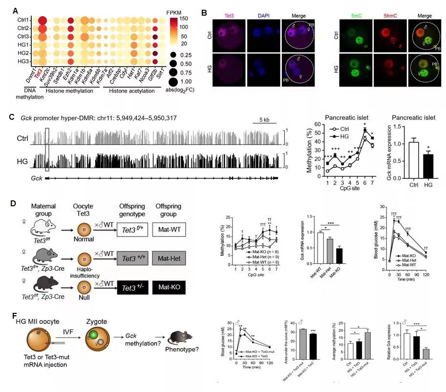
研究团队以孕前糖尿病为例,收集了糖尿病小鼠卵母细胞利用体外受精和胚胎移植到代孕雌鼠宫内获得子代。在排除孕期和产后高糖环境干扰后发现,卵母细胞在孕前已被打上代谢异常的烙印,传递到后代引发子一代糖耐量受损、胰岛素分泌不足,造成了糖尿病代际遗传。

实验设计和子代主要表型图
“水落石出”
通过分析糖尿病小鼠卵子转录组中调控表观基因组的关键因子,研究者发现DNA去甲基化酶,同时也是母源效应因子的Tet3显著下降。合作团队徐国良院士课题组曾揭示Tet3负责将父本基因组DNA胞嘧啶甲基的氧化修饰,从而启动DNA去甲基化。研究进一步证实糖尿病小鼠来源的卵母细胞体外受精后,基因组甲基化水平改变,并发现与胰岛素分泌相关的Gck基因启动子区DNA高甲基化。利用Tet3敲除小鼠验证发现,卵母细胞时期Tet3基因敲除后,小鼠出现Gck启动子区域高甲基化、表达量下降和糖耐量异常。回补Tet3可显著恢复甲基化水平和子代糖耐量受损表型。

“别有洞天”
课题组以目标基因Gck为例,发现Gck启动子的高甲基化最早来源于受精卵的雄原核,并在囊胚和子代胰岛中证实胰岛素分泌基因都呈现父本特异性高甲基化。这一结果揭示高血糖暴露后,胰岛素分泌基因的高甲基化来源于父本基因组,并且传递到子代。

更值得关注的是,研究团队在临床糖尿病患者的GV期卵母细胞和囊胚也分别显示出Tet3表达降低的趋势和Gck启动子区高甲基化的状态,这提示研究团队在小鼠模型中的发现具有临床意义,为临床指导和应用带来了可能。
研究团队这一发现无疑加深了我们对发育源性疾病的理解,首次在排除孕期干扰后,直视了卵子作为传递载体起到的代际遗传作用,还从分子角度勾勒出Tet3作为解密钥匙,开启了别有洞天的父本遗传路线,实现了发育源性成人疾病研究的重大突破。黄荷凤院士表示:“目前高血压、糖尿病等慢性疾病流行趋势日益增加,长期以来患者的健康管理和治疗占用了大量公共卫生资源。目前成人期慢病预防效果不理想,迫使我们从新角度寻求突破。发育源性疾病研究成果启示我们,应充分认识生命早期即开始干预的可能性和重要性,从根本上转变疾病防控思路,这也许对于慢病的预防才是务实和有效的。这项研究为这一理念提供了关键理论基础,是我们接下来临床研究和实践的重要前提,为发育源头防控慢病,降低出生缺陷、提高我国人口健康提供了全新视角和策略。”
该研究由复旦大学生殖与发育研究院、浙江大学教育部生殖遗传重点实验室黄荷凤院士课题组和中国科学院分子细胞科学卓越创新中心的徐国良院士课题组共同合作完成。得到国家科技部重点专项、国家自然科学基金、中国医学科学院研究创新单元等资助。黄荷凤院士和徐国良院士为论文的通讯作者,教育部生殖遗传重点实验室(浙江大学)陈宾博士、中科院分子细胞卓越中心杜雅蕊副研究员、复旦大学附属妇产科医院朱虹博士、中科院分子细胞卓越中心孙美玲博士和博士研究生王超为该文的共同第一作者。该工作还得到了浙江大学盛建中教授、英国阿尔斯特大学Peter R Flatt教授的大力支持和帮助。
专家点评
点 评 一
【Nature同期点评】

高血糖状态使雌性小鼠卵母细胞TET3酶失调,导致Tet3不能在卵母细胞受精后对精子来源的DNA准确地进行修饰,从而导致子代成年后出现代谢异常。孕前或孕期,营养过剩或不足将使得子代成年后出现体重超重或发展成2型糖尿病1。饮食引起代谢性疾病的“记忆”的机制,至今大多仍不明确2。陈宾3等研究人员在《Nature》发表的文章,揭示了高血糖(代谢紊乱的标志)通过雌性小鼠的卵母细胞传递给后代的机制。
研究人员用化学药物破坏胰岛功能,诱发雌性小鼠出现慢性高血糖。接下来,研究人员用健康雄性的精子与高血糖小鼠卵母细胞进行体外受精,并将早期胚胎植入健康的代孕母亲宫内继续发育。该研究设计排除了妊娠期高血糖的影响,能够直接关注高血糖对卵母细胞本身的影响。
高血糖卵母细胞来源的子代成年后体重正常,但相较于对照组,子代的葡萄糖代谢能力下降。这一葡萄糖耐量异常的表型在雄性后代中更为明显,并随着年龄的增加而加重。研究表明这种葡萄糖不耐受现象是由于胰岛β细胞在葡萄糖刺激时胰岛素分泌障碍所致。
为了研究这些现象背后的机制,研究人员比较分析高血糖和对照组来源的成熟卵母细胞中mRNA的情况。结果表明,两组间有数百个基因存在差异表达,高血糖卵母细胞中Tet3的转录水平仅为对照组的一半。这一结果在另一糖尿病小鼠模型(高血糖伴肥胖)和糖尿病女性卵母细胞中得到了进一步验证。
在DNA中,启动子区域的甲基化通常与抑制基因表达有关。TET3酶通过氧化DNA甲基基团,引起DNA去甲基化,从而开启基因的转录4,5。在受精卵中,TET3介导的去甲基化主要作用于父本DNA5-8,在发育过程中解除精子DNA高甲基化的状态,以启动基因表达。该研究团队发现,高血糖卵母细胞来源的受精卵中,父本基因组甲基化的DNA的氧化程度明显低于对照组小鼠(如下图)。
图. TET3酶介导代谢紊乱的传代

研究人员通过定量分析胎鼠胰岛DNA甲基化水平,评估了母源性TET3活性降低对后代的长期影响。研究中关注了高甲基化的启动子区域,发现启动子区高甲基化的基因可以参与胰岛素分泌,其中一个高甲基化启动子区对应的是胰腺Gck转录本。Gck编码葡萄糖激酶,是葡萄糖刺激胰岛素分泌的关键酶。
研究者进一步发现,这一父本来源的Gck启动子在各个发育阶段及成年期均出现DNA高甲基化,与Gck在胰岛中的表达量下降有关。给予子代GCK Dorzagliatin(一种抗糖尿病的化合物,正在进行第三期临床试验)9,可改善葡萄糖耐量,增加胰岛素分泌。这些结果都表明父本来源的Gck基因是母源TET3的一个重要靶点。同时,发现糖尿病女性的早期胚胎中,GCK启动子的甲基化程度是正常女性胚胎中的两到三倍,这表明在人类中也存在类似的机制。
有趣的是,GCK是人类一组基因的一部分,这些基因一旦发生突变,就会导致一种青少年发病的成人型糖尿病2型(MODY2)的疾病(见go.nature.com/3owzrjm)。临床数据表明,GCK的两个拷贝中只要有一个发生突变就足以导致该疾病,这种现象被称为单倍剂量不足。将这些知识与该研究结果结合起来,就可以提出父本基因组在GCK启动子上的高甲基化可能与GCK突变具有相同的效应,导致胰腺GCK单倍剂量不足和后代的MODY2症状。这一发现需要在临床研究中进一步确认。此外,还需要更多的研究来鉴定那些活性被高甲基化所抑制的可调控GCK表达的转录因子。
接下来,研究人员提出疑问,Tet3的表达减少是否是导致高血糖卵子的Gck高甲基化和葡萄糖不耐受的唯一因素。为了证实这一观点,研究人员在卵母细胞中敲除Tet3表达以模拟母体高血糖的影响,发现Tet3敲除后的也可导致Gck高甲基化和子代葡萄糖不耐受,甚至更加明显。此外,将Tet3 mRNA注入胚胎可改善由高血糖带来的不良影响,而Tet3突变体则无此作用。
以上结果表明,即使来源于健康雄鼠的精子DNA甲基化组也能受到卵子异常的TET3影响而导致后代代谢紊乱,而通过改善早期胚胎中TET3的活性能消除这种风险。TET3的这种功能可能是为了适应精子基因组DNA甲基化水平总体上是卵子基因组中的两倍这一情况而进化的10。然而,我们不能排除TET3也参与母体基因组中代谢相关基因去甲基化的可能性。
最后,作者提供的证据表明,卵子在成熟过程中非常容易受到高血糖的影响。根据这一想法,暴露在高糖中会导致体外成熟的小鼠和人类卵子的Tet3 mRNA水平显著下降。因为在卵子成熟过程中没有基因转录发生,这种降低可能反映了成熟前转录的Tet3 mRNA的不稳定。我们注意到,与对照组相比,控制mRNA稳定性的基因(如Ybx1、Ybx2和Zfp36)在高血糖卵母细胞中被下调,可能是由于卵子生长过程中的转录调节异常。探索葡萄糖信号控制Tet3转录和mRNA稳定性的机制将是令人兴奋的。
肥胖对生育夫妇双方都会有影响,众所周知高脂饮食可使卵子和精子携带异常信息将代谢紊乱传递给后代。研究人员揭示了一种可以解释来自雌性小鼠的传代机制,另一种与精子相关的非编码小RNAs的不同机制解释了啮齿动物中父系代谢疾病如何传递11-13。展望未来,重要的是确定这两种机制是否与人类有关,如果是的话,它们如何交叉互作。
(原文链接:https://www.nature.com/articles/d41586-022-01237-6)
点 评 二
宁光(中国工程院院士)
人类的基因是人类历史最忠实的记录者,从生命诞生之时起,便用‘基因语言’记录下了所经历的沧桑往事。如果说基因是一种内在密码,那么基因和环境相互作用后会影响密码的编程而显现不同的表型,基因和环境互作效应现今被认为在人类健康与疾病中发挥重要作用,但其发病的机制至今未解。要搞清楚其中的关系,也并非易事。
1995年,英国南安普顿大学流行病学家Barker提出了健康与疾病的发育起源学说(Developmental Origins of Health and Disease, DOHaD)。认为胎儿在孕中晚期营养不良会引起成年期易患糖尿病、高血压和冠心病,解释了生命早期环境在成年慢性疾病发生中的现象。这一发现所引发医学科学热潮,促使科学家和临床医生们在人类生命早期健康和预防疾病研究思路上发生了转变。然而,胎儿源性疾病的主要理论基础来源于基于人群的大规模临床流行病学调查,而在发生机制方面极少有深入的阐释和突破。
科学家们最先想到通过动物实验来验证。在利用动物模型验证的过程中,科学家们将一些传统的观念如基因与环境之间的相互作用导致疾病的易感性等,进一步扩展,并提出表观遗传也可作为一个重要的决定人类疾病起源的因素。这一发现又掀起了另一波探索热潮,这一阶段的研究多注重“果”, 从表型到机制多个模型验证了遗传效应和表观修饰改变的存在,为表观遗传在疾病起源性研究奠定了基础。但遗憾地是,生命早期环境因素与疾病起源的“因”却迟迟未能揭秘。
在国内提到发育源性疾病,第一个想到的是黄荷凤院士。黄院士团队开展了一系列环境因素对子代健康的研究,首次报道了孕期糖尿病引起跨代和隔代遗传效应。课题组相继探讨了孕期环境影响子代体细胞表观遗传修饰引发其代谢、心血管和神经认知等功能异常的作用机制。随后又发现环境对生殖细胞重编程影响,环境因素暴露后改变生殖细胞重编程中DNA甲基化修饰关键酶的水平。从体细胞到生殖细胞拓展,使黄荷凤院士也从关注胎儿期影响前移到配子发育期,率先提出了“成人疾病的配子源性”假设。
合作团队徐国良课题组近年来则一直致力于Tet双加氧酶及其介导的DNA氧化去甲基化的分子机理及生物学功能研究。发现Tet酶能够迭代氧化5mC,依次产生5hmC、5fC和5caC,DNA糖苷酶TDG特异识别5caC启动碱基切除修复途径完成DNA去甲基化。基于这条DNA主动去甲基化通路,徐院士课题组深入探讨了其在小鼠早期胚胎发育、成体神经发生与认知、体细胞重编程及原肠运动中的生物学功能,研究成果斐然。
一个假设被成功论证,是假说最终成为理论学说的前提。喜见黄荷凤院士和徐国良院士的合力之作,他们发表在本期Nature杂志的成果以糖尿病的卵子起源为例验证了“成人疾病的配子源性”,更为欣喜地是他们寻找到了这一遗传模式的关键分子机制并予以证实。
这次发现开启了大家对发育源性疾病新认知,关键是成功地揭开了隐藏在背后的表观遗传机制。从1995年Barker提出假说开始,由于具体调控机制和方式的不确定,许多人对疾病的发育起源尚存疑惑。本研究中,研究人员在给糖尿病小鼠实施了大家熟悉的“试管婴儿”和“代孕”术,在排除孕期和产后的因素后,发现卵母细胞可独立作为体内代谢的“感受器”,在感知糖尿病状态后,卵细胞中Tet3水平降低,与精子受精后,在生命伊始便通过干扰父本基因组的去甲基化影响了后代致病基因表观修饰,将糖尿病易感性传递给了后代。研究解析了生命早期环境与基因的互作效应在成年慢病发生中重要调控机制,是发育源性成人疾病的重大理论突破。
科研探索更高的目标是将科研成果能够真正最终回馈人类和社会。黄荷凤院士作为中国发育源性疾病和出生缺陷防控的先驱者,牵头了国际多中心随机整群对照“生命健康轨迹”计划,建立了孕前-孕期-产后-儿童的系列临床研究队列,开启了发育源性疾病临床实践的新篇章,并结合基础研究,将慢病尤其是糖尿病的发生机制研究进一步前移。慢病的防治理念已经拓展至全生命周期,依赖于从分子、细胞器、细胞、组织器官和个体水平的基于机体“整体观”的深入研究。近年来有研究者尝试通过包括菌群、代谢物、多组学数据预测慢病的发病,但更重要的是为有效防治慢病提供有价值的科学依据,为消减慢病提供可操作性的临床干预和预警方案。创新的成果带来全新的防治理念,期待在我们年轻一代人的身上,源头阻断疾病、提高老百姓健康生活质量将不再只是梦想!
点 评 三
女性孕前高血糖导致子代糖耐量受损的表观遗传学机理
--闫威教授(加州大学洛杉矶分校医学院)
作为现代社会最常见的代谢性疾病之一,糖尿病的发病率居高不下,已成为世界上危害最大的公共健康问题。糖尿病妇女如果孕期血糖控制不好,不但会影响胎儿的正常发育,还会大大增加子代疾病的易感性。然而,女性孕前高血糖是否也会对子代的健康前景产生负面影响仍然是个悬而未解之谜。黄荷凤院士团队和徐国良院士团队合作的这个工作首次证实了女性孕前高血糖的确可以导致子代糖耐量受损。研究者收集了高血糖雌鼠的卵子,然后利用体外受精和胚胎移植到代孕雌鼠而得到子代。这是一个十分巧妙的方法,因为这样可以很特异地研究孕前高血糖,而不是孕期高血糖,对子代健康的影响。不出所料,实验结果令人信服地证实了孕前高血糖能够改变卵子的某些因素,进而导致子代的葡萄糖不耐受。通过分析高血糖鼠和糖尿病妇女的卵转录组中调控表观基因组的关键因子,研究者发现了TET3的信使RNA水平在糖尿病鼠和人卵中严重下调。TET3基因编码一种双加氧酶,主要活性是催化5-甲基胞嘧啶的氧化以及DNA去甲基化,是在受精后精卵基因组DNA甲基化重编程必须的关键调节酶。卵细胞中母本TET3信使RNA的水平显著下降强烈提示高血糖可以降低TET3双加氧酶在受精卵中的丰度,进而导致DNA去甲基化的障碍。通过分析精卵原核的5-甲基胞嘧啶(5mC)和5-羟甲基胞嘧啶(5mhC)的水平,研究者证实了在高血糖症来源的,或者是TET3基因敲除小鼠(杂合子和纯合子)来源的受精卵中,雄原核DNA甲基化水平远远高于对照,强烈提示这个变化很有可能是由于TET3的下调造成的。果然,当研究者通过显微注射向受精卵里注入TET3信使RNA后,可以完全逆转父本DNA去甲基化障碍,进而避免了子代的糖代谢异常。这些结果证实TET3在高血糖卵中显著下调的确是子代糖代谢异常的“罪魁祸首”。通过分析早期胚胎,子代胰岛β细胞的高甲基化的基因,研究者发现受影响最大的基因中大部分是调控胰岛素分泌的。其中Gck基因编码一种葡萄糖激酶,为葡萄糖刺激下胰岛素分泌过程的限速步骤,是胰岛β细胞监测血糖水平必须的。在高血糖来源的受精卵中Gck基因的胰腺特异性促进子代甲基化水平远远高于正常水平,这一表观基因变异(epimutation)持续到早期胚胎和子代的胰岛β细胞里,导致这一关键激酶表达水平大大降低和葡萄糖激发的胰岛素分泌紊乱,最终表现为子代的糖不耐受。这项研究不仅证实了孕前高血糖症可以导致子代葡萄糖不耐受,更首次揭示了潜在的分子机理,即直接下调控制DNA去甲基化的关键酶(如TET3)导致受精后父本基因组去甲基化的障碍,造成众多调控胰岛素分泌基因的高甲基化和表达紊乱。值得指出的是,尽管糖不耐受的表型是由于表观基因变异,即DNA高甲基化,导致的,但这种疾病表型似乎只能代内(Intergenerational)传递,而不能跨代 (Transgenerational)遗传,很可能是由于在二代及以后的受精卵中TET3水平是正常的。
总而言之,这是一项具有里程碑意义的研究,对今后研究环境或饮食导致的代谢性疾病以及其他后天获得性性状(acquired traits)的代内和跨代遗传(intergenerational and transgenerational inheritance),以及研究通过干预受精卵重编程来纠正表观基因变异及其所致疾病的可行性都具有重大指导意义。
院士风采
黄荷凤 院士

中国科学院院士、英国皇家妇产科学院荣誉院士、发展中国家科学院院士、中国医学科学院学部委员,现任复旦大学生殖与发育研究院院长。
复旦大学、浙江大学和上海交通大学讲席和特聘教授,博士生导师,主任医师,澳大利亚Adelaide大学和香港大学客座教授;973首席科学家,十二五国家科技支撑计划牵头人,863项目负责人,国家自然科学基金基础科学中心共同PI、重大国际合作项目负责人,国家重点研发计划重点专项负责人。教育部“生殖遗传”重点实验室主任,上海市胚胎源性疾病重点实验室主任。中国妇幼保健协会副会长,国际生殖遗传学会(ISRG)创会理事。在Nature Medicine和PNAS等SCI杂志发表论文300余篇,以第一完成人完成国家科技进步奖两项。
来源:本文来源于专家供稿及综合整理自复旦大学附属妇产科医院、复旦大学生殖与发育研究院公众号。
声明:如有版权问题请联系我们删除。