您所在的位置: 品牌专栏
NO.141 梅格斯综合征——一只披了狼皮的羊
2023-01-06
作者:王雅卓、张蕴霞
标签:
卵巢肿瘤
  
来源:妇产科网微信公众号
浏览量:17179
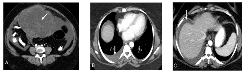
引言: 梅格斯综合征(Meigs)综合征是一种少见的妇科合并症,患者就诊时通常具有盆腹腔大肿物、合并胸腹水的症状,让我们迅速联想到了卵巢恶性肿瘤的可能性,殊不知,它其实只是一只“披了狼皮的羊”。 第一部分:病历及思考 病例线索1 患者女性,67岁 主诉:腹胀伴胸闷憋气1个月,发现盆腔肿物5天。 现病史:患者1个月前无明显诱因出现腹胀伴胸闷憋气,5天前就诊于当地医院,查妇科超声提示盆腔肿物,直径约15cm,伴大量腹水,诊断为:盆腔肿物并腹水。患者为求进一步治疗来我院。 月经及生育史:自然绝经10余年,G2P2,足月顺产2次。 既往史及家族史:既往体健,家族史无特殊。 妇科检查:双合诊:已婚经产型外阴,阴道通畅,宫颈萎缩、光滑,盆腹腔偏右侧可触及一个直径约15cm实性包块,边界较清,质硬,活动度可。因腹水较多子宫及对侧附件触诊不满意。三合诊:子宫及双附件同双合诊检查,子宫直肠窝空虚,未触及结节。 初步辅助检查: 1、血常规结果提示:白细胞:11.00*109/L,余大致正常,生化全项:白蛋白:22.1g/L,余大致正常。凝血功能、尿常规等常规化验检查未见明显异常,心电图、腹部超声未见明显异常。 2、盆腔超声提示:右下腹可见一直径约15cm低回声实性包块,边界清,其内未见明显血流信号,下腹部肠间隙可探及大片状液性暗区,最深处约12cm。 3、胸盆腹CT结果示:两侧胸腔积液,右侧显著,下腹部、盆腔可见直径约15cm团块状囊实性混杂密度影,考虑卵巢来源,腹盆腔积液。 4、肿瘤标志物:CA125、CA199、CEA等均在正常范围之内,人附睾蛋白4(HE4):194 pmol/L(我院正常范围绝经后<140pmol/L)。 思考1 老年女性,合并盆腔大肿物,伴有胸腹水,是否有“卵巢癌”可能性? 该患者肿瘤标志物尤其是CA125和CA199均在正常范围之内,但HE4数值高于正常。CA125是监测上皮性卵巢癌最重要的生物标志物之一,灵敏度较高,但特异度欠佳(灵敏度为81.4%、 特异度为56.8%)。而CA199则是诊断卵巢黏液性癌的敏感指标。HE4是近年来被广泛关注的新型肿瘤标志物,正常情况下,该标志物在机体中的表达水平极低,但在卵巢癌患者的血清中却呈现较高的表达水平,而且与CA125相比,对于临床分期为Ⅰ期卵巢癌患者也具备更高的特异性。因此结合该患者肿瘤标志物的情况及CT结果,不能除外卵巢癌的可能性。 除此之外,有没有可能是结核? 腹盆腔结核患者可有原发不孕、发热盗汗等结核病特异表现,但仍有大多数患者是以盆腔包块和腹腔积液为主要首发症状就诊的。盆腔结核患者的肠管、大网膜与子宫附件粘连可形成实性包块,结核病灶的渗出也可表现为囊性包块。盆腔结核患者的腹水多为草绿色渗出液,以淋巴细胞为主,其内可能找到结核杆菌,当多次细胞学检查未发现癌细胞时,要考虑结核的可能。 病例线索2 继续完善相关辅助检查: 腹水找癌细胞:(-); 胃肠镜未见明显异常; PPD实验:(-)。 思考2 患者PPD实验阴性,基本除外了结核的可能性,胃肠镜检查未见明显异常,暂不考虑胃肠道转移瘤,结合CT考虑来源于卵巢的肿瘤可能性最大。腹水未查到癌细胞,又有大量的胸腹水。 有没有可能是Meigs综合征?如果是Meigs综合征,是真性Meigs综合征还是假性Meigs综合征? 两者因为都具有相似的三联征(包括卵巢肿瘤、胸水、腹水),临床上并不容易区分,最终诊断需要依靠手术病理学检查。鉴于患者一般情况较好(无基础性疾病,白蛋白>3.5g,ECOG评分0分),为了进一步明确诊断,在充分的评估后决定进行手术探查。 病例线索3 全麻下行剖腹探查术,术中见大量腹水,右卵巢肿物,直径约15cm,边界清,质硬,与周围组织无粘连,子宫及左侧附件未见明显异常,行右侧附件切除术,送术中冰冻,术中快速冰冻病理结果为卵泡膜-纤维瘤。因患者已绝经,建议其行全子宫+双附件切除术,遂继续行全子宫+左侧附件切除术。 思考3 卵巢卵泡膜-纤维瘤组肿瘤(OTFG)属于性索间质肿瘤,占所有卵巢肿瘤的1%-4%,多为良性,好发于围绝经期和绝经后患者。根据卵泡膜细胞和纤维母细胞含量的不同病理分为3个亚型: (1)卵泡膜细胞瘤,几乎均由卵泡膜细胞构成; (2)卵泡膜纤维瘤,由卵泡膜细胞和纤维母细胞按不同比例构成; (3)纤维瘤,均由纤维母细胞构成,几乎不含卵泡膜细胞。 该肿瘤组织学分化特点有多向重叠, 病理学也很难精确分类,WHO建议将其称为卵泡膜细胞瘤-纤维瘤组肿瘤,该患者尽管术前考虑不能除外晚期上皮性卵巢癌,剖腹探查的结果及术中冰冻病理结果提示我们,该病例很大可能是Meigs综合征,鉴于OTFG良好的预后,这位患者无疑是幸运的。 病例线索4 患者术后病理结果汇报:(右侧)卵巢卵泡膜纤维瘤。子宫及左侧卵巢、双侧输卵管均为良性病变。 术后1个月随访情况:患者恢复良好,复查盆腔超声呈术后改变,未见积液。胸部CT显示双肺未见明显异常,未见明显积液。 思考4 术后病理作为金标准,证实了该患者卵巢卵泡膜纤维瘤的诊断,结合其术前影像学提示的大量胸腹水,以及术后胸腹水的迅速消失,Meigs综合征的诊断确诊无疑。

评论(0)
精彩评论