首页
视频中心
妇产云课堂
学术专区
医说生殖
专家风采
会员购买
全部
视频
文章
EN
注册
登录
您所在的位置:
品牌专栏
指南共识
例例可鉴
医生手记
文献速递
石教授讲妇产科故事
每周一课
会议报道
妇瘤e讲堂
内异知新
妇瘤聚焦
国际新镜界
会议预告
学术专题
学术前沿
专家科普
医学哥德巴赫猜想
专家观点
医声医视
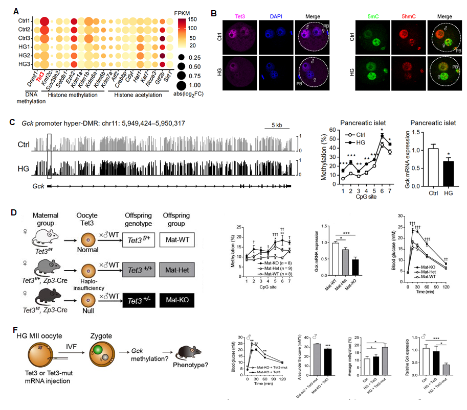
重大突破!黄荷凤院士/徐国良院士团队破解卵子起源的糖尿病遗传之谜
2022-05-20
作者:朱虹 丁国莲
来源:医说生殖 公众号
浏览量:20582
《Nature》刊发!中国科学家找到了开启卵源性代际遗传模式的关键钥匙
分享:
上一篇:罕见疾病并不孤单,遗传专家大爱担当——遗传病防治中国行-芜湖行顺利开展
下一篇:杨冬梓教授:2021年高龄助孕领域回顾与展望
评论(0)
发布+
精彩评论
立即跳转