入院后完善相关检查,无手术禁忌,在气管插管全身麻醉下行腹腔镜下子宫阔韧带肌瘤切除术。术前做好各项准备工作,严格评估患者身体状况,确保手术能够安全进行。
患者麻醉成功后,取膀胱截石位,常规气腹形成后经脐轮上插入腹腔镜。镜下可见子宫饱满,表面呈术后改变,双侧附件未见明显异常,大网膜与子宫前壁及右侧腹膜部分粘连,右侧阔韧带内见肌瘤样结节凸起,直径约5cm,进一步打开阔韧带游离肌瘤,见肌瘤位于髂内动脉及右侧输尿管之间,子宫深静脉上方,自宫颈沿子宫动脉呈分支状生长,围绕并包裹输尿管向阔韧带内凸出,宫颈前壁可见两枚肌瘤样凸起,直径约2cm,表面光滑。
手术步骤:
1)分离上述周围组织粘连,恢复原有解剖结构。
2)超声刀切断右侧圆韧带,分离暴露髂内动脉,游离子宫动脉起始段,逐步切开瘤体周围腹膜,游离肌瘤,见肌瘤样组织呈分叶状,三个分支大小约5cm,包绕子宫、输尿管及子宫动脉,超声刀游离出右侧输尿管,避开血管,自宫颈连接处离断瘤体周围血管后完整剥除肌瘤,确切止血。
3)单极打开子宫前壁肌瘤包膜,锐性及钝性分离,完整剥离肌瘤,以倒刺线缝合关闭瘤腔,同法处理另一肌瘤。
4)将肌瘤放入自制取物袋中,予以粉碎旋切后连带取物袋一起自第二穿刺孔取出,盆腹腔未见明显残留肌瘤。
5)双极电凝确切止血,冲洗检查盆腹腔,检查创面无活动性出血。
6)排空腹腔内气体,取出腹腔镜及各套管,缝合皮肤切口,术毕。
术中麻醉效果良好,患者生命体征平稳,出血少,麻醉复苏后安返病房。
标本:阔韧带肌瘤+子宫肌瘤(已粉碎),描述同上,交家属过目后送病理检查。
术后病理:
平滑肌瘤。
患者,女,37岁。
主诉:
体检发现盆腔包块2+月。
现病史:
既往月经规律月经,患者10年前行剖宫产术时发现子宫肌瘤,后定期复查,2020年我院行子宫肌瘤挖除术。2025.6.8日复查阴道彩超示:肌层内扫见多个低回声,最大位于前壁,大小20mm*13mm*18mm,边界清晰,形态规则,部分略凸向子宫轮廓外,内膜居中,厚8.8mm。右侧盆腔扫见大小50mm*19mm及46mm*14mm迂曲条状低回声,边界清晰,两者似相连,内见较丰富血流信号,建议观察随访。患者要求入院手术治疗。
既往史:
患者平素健康状况良好,2015年行剖宫产,2020年行腹腔镜子宫肌瘤挖除术,病理良性。
月经史:
初潮年龄:14岁,5/29天,末次月经时间2025-8-8,月经周期规则,月经量中等,无痛经。
婚育史:
已婚已育,G2P1,丈夫及一子体健。
家族史:
否认家族性遗传病史,否认家族性肿瘤史。
其他病史:
无特殊。
妇科检查:
外阴:发育正常,已婚式。
阴道:畅,黏膜正常,无异味。
宫颈:光滑,质中。
子宫:前位,饱满,于右侧宫旁似触及肿物大小约5cm,质地触之不清,子宫无压痛。
双附件区:未触及异常包块,无压痛。
辅助检查:
超声检查:


超声所见:子宫前位,大小正常,形态规则,肌层回声均匀,肌层内扫见多个低回声,最大位于前壁,大小19mm*13mm,边界清晰,部分略凸向子宫轮廓外,内膜厚6mm。双侧卵巢大小、形态正常;右侧盆腔扫见大小55mm*17mm及44mm*15mm低回声,形态欠规则,边界清晰,内见稍丰富血流信号,RI:0.53——左侧附件区未见明显肿块回声。CDFI,PW:子宫及左侧附件区未见明显异常血流信号。
超声提示:子宫肌瘤(FIGO:4、5型);右侧盆腔低回声(血管平滑肌瘤?)。
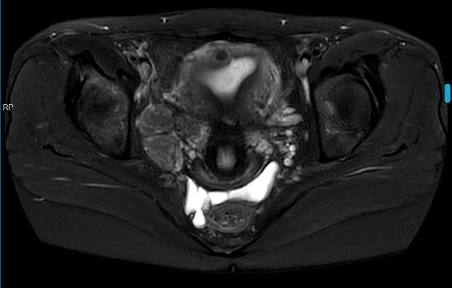
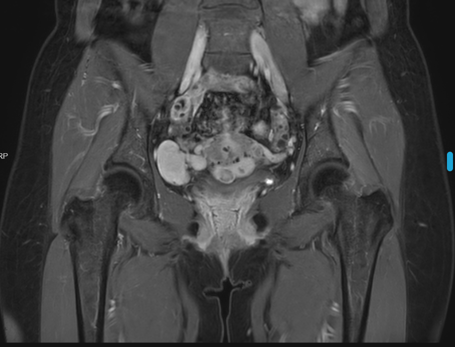
盆腔磁共振平扫+增强扫描:



影像所见:子宫表面欠光整,肌层、浆膜下见多发点状、结节状T1低信号,T2稍低信号,边界清楚,大者长径约14.5mm,不均匀强化。右侧盆腔见三枚T1低信号T2稍高混杂信号,增强明显较均匀强化,边缘光整,大者约23.3mm*38mm。
MRI提示:
1.子宫多发肌瘤;
2.右侧盆腔多发异常信号,考虑良性肿瘤可能,请结合临床。
初步诊断:
1.盆腔肿物待查;
2.子宫肌瘤;
3.疤痕子宫。
患者术后恢复良好,精神状态佳,胃纳及睡眠正常,阴道无流血,无腹痛、腹胀等不适症状,查体生命体征平稳,心肺听诊无异常。
术后遵循医嘱休息,避免重体力活动,禁性生活及盆浴1个月,术后1周、1个月进行妇科门诊复查。

安徽医科大学第三附属医院合肥市第一人民医院滨湖院区妇产科,副主任医师,中共党员
毕业于安徽医科大学,从事妇产科临床工作近二十年,在中山大学附属第一医院妇科进修学习微创手术。
熟练掌握妇产科各种常见病、多发病及危急重症的诊治。擅长子宫肌瘤、子宫腺肌病、子宫内膜异位症、卵巢肿瘤等疾病的诊治,妇科恶性肿瘤(如宫颈癌、子宫内膜癌及卵巢癌)规范化治疗,具有娴熟的阴式子宫切除、会阴修补、宫颈锥形切除术、较大子宫的腹腔镜下全切术、子宫肌瘤剔除术、异位妊娠保留生育功能手术、盆腔粘连松解术、卵巢囊肿剥除、宫腔镜检查、子宫内膜息肉电切术、镜下取环、镜下II型子宫粘膜下肌瘤电切术等复杂型大中型妇科手术技能。
责编:清欢
审核:马野
